缴费及信息查询

友情提示:请输入身份证号或有效电话

首页 > 新闻资讯 > 正文

偏瘫、失语、半身不遂,中风后遗症还能恢复吗?看干细胞重现奇迹!

2023-07-18    点击量:1456

引  言

你可能不知道,平均每16秒就有一个中国人,死于中风。中风可谓肆虐中国的第一杀手,是造成中国人寿命损失的第一大病因,且正在逐年呈年轻化趋势发展。


图片
△ 中风成为十大死因之“头号杀手”

尽管中风在我国已如此普遍,差不多每5个人中就有2人会在一生中患上中风,但关于中风的治疗及预后效果却差强人意。多数中风患者即便康复后再次复发的概率也极高,且复发一次比一次严重,中风后遗症如偏瘫、失语等也给患者和家庭造成较大负担。

中风难治愈主要在于受损的神经元几乎无法再生,因此,一旦发病如果没有在黄金时间及时抢救,中风及后遗症就可能伴随接下来的一生。

为了探寻有效的中风治疗方式,干细胞移植术的发展为其提供了新的治疗途径。一项研究实验表明,干细胞可再生修复受损的大脑神经元,从而恢复脑中风患者后遗症症状:在9名年龄不等的中风偏瘫患者实验中,应用干细胞移植到脑内梗塞灶取得了一定的临床效益。

图片

△ 干细胞移植治疗缺血性脑中风引起的瘫痪

这证明了神经干细胞移植有助于脑卒中偏瘫患者运动功能的恢复,且干细胞应用于人体安全、有效,无副作用。

脑中风,为何难治愈?


中风也为脑卒中,它的本质是脑血管发生了病变,继而造成脑细胞功能损害,如果脑血管因为各种原因发生了堵塞引起细胞供氧不足就会引发脑梗塞,而如果脑血管发生破裂就会引发脑出血。这两种情况都是脑中风的典型表现。

图片
△ 脑血管堵塞、脑出血都是脑中风典型症状

脑中风患者脑组织在短时间内缺血缺氧并坏死,会导致神经元减少,轴突链接中断,局部产生活性氧自由基而影响脑组织损伤的自我修复,进一步丧失局部脑功能和神经组织。

因此,脑中风的患者通常发生偏瘫、语言障碍,或者头疼、恶心、呕吐等症状。

值得注意的是,脑中风的抢救时间尤其宝贵,每延误1分钟,就会有190万个神经细胞死亡,140亿个突出和7.5英里的神经纤维损失而每耽搁1小时的救治时间,则会使大脑变老3.6年。

因此,对于脑中风患者来说,每分每秒都是极其宝贵的时间。

而更为重要的是,即便是及时抢救过来,脑中风的复发率也极其高,约50%的患者会在两年内内再次发生中风,而且病情一次比一次严重,发病间隔时间也一次比一次更短。

图片
△ 脑中风复发风险高,一些高危人群更值得关注

通常的溶栓治疗只能缓解暂时的症状,并不能有效改善脑中风受损的脑组织神经元,这也极大增加了脑中风患者后遗症、致残的概率和程度。


干细胞:脑中风治疗的新选择


随着干细胞移植技术的发展,干细胞能再生组织、器官及干细胞的免疫调节功能得到了更多的场景应用,也为脑中风治疗提供了新途径。

在这项研究中,9名年龄在30-65岁之间的偏瘫患者在中风后5-24个月接受人源神经干细胞NSI-566脑内移植,NSI-566被移植至脑内梗塞灶附近。连续24个月的随访数据显示,所有剂量的干细胞治疗耐受性都很好没有发生神经系统恶化或与治疗相关的不良并发症,这证明了干细胞应用的安全性问题。

图片
△ 通过24个月的随访临床结果,显示了相对于基线的分数变化

移植到脑内梗塞病灶的干细胞,通过分化为神经系统的各类细胞、分泌营养因子,促进神经和血管再生,修复受损的血-脑脊液屏障,减轻炎性反应等促进脑梗死动物的神经功能恢复,让9例临床患者偏瘫的症状得到了明显改善。

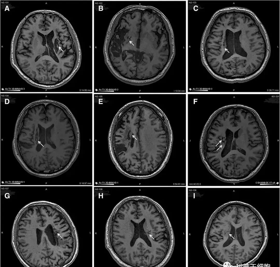
图片
△ 9名患者的影像学显示病变区域的组织都发生了明显变化

影像学研究的结果表明,干细胞植入区出现了新的神经组织,这也证明了人源神经干细胞治疗偏瘫性脑卒中拥有一定的临床益处。

目前,关于干细胞治疗脑中风的临床研究正在全球范围内开展,也有许多已经开展了更为深入的临床试验,随着我国近年来细胞政策的逐渐开放,政府的支持与鼓励,以及细胞政策的不断完善,都将推动这一进程快速向前,让干细胞能够惠及更多脑中风患者,为他们解除病痛烦恼。

参考资料:
Guangzhu Zhang  Ying Li ,et,al.Stable Intracerebral Transplantation of Neural Stem Cells for the Treatment of Paralysis Due to Ischemic Stroke.First published: 26 June 2019 https://doi.org/10.1002/sctm.18-0220
-END-